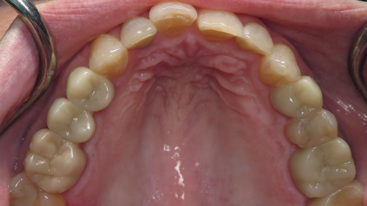
Comprehensive Rehabilitation
These cases show how complex dental problems can be carefully rebuilt with thoughtful planning and staged treatment. Each patient started with different concerns, but the goal was the same—restoring health, function, and a smile that feels natural and comfortable again.
Dental Implants
Dental implants can be an excellent solution when a tooth can't be saved or has already been lost. Each case is a little different—sometimes replacing a single tooth, sometimes improving the overall smile at the same time. These examples show how implants can restore both function and a natural-looking smile.
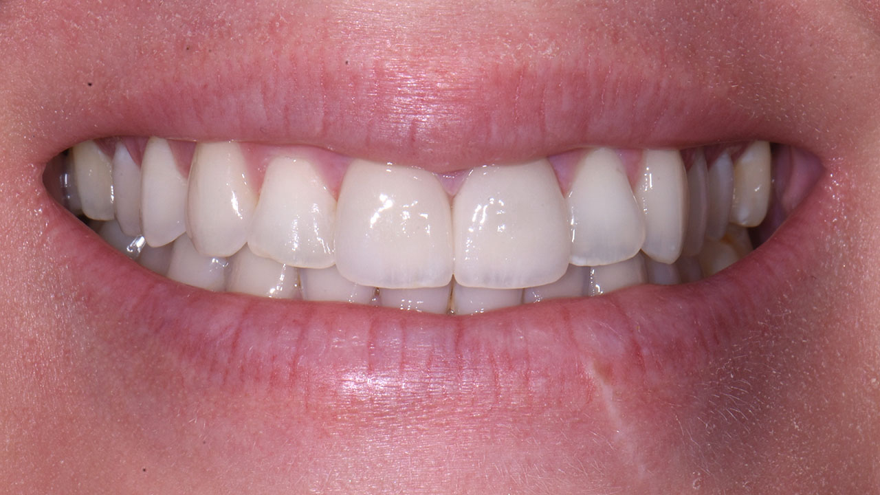
Porcelain Veneer Transformations
These cases show how porcelain veneers can improve the shape, color, and balance of a smile while still looking natural. Achieving that kind of result often involves careful evaluation and thoughtful planning, and sometimes additional steps such as whitening or orthodontics so the final restorations fit comfortably, function well, and look like they belong to you.
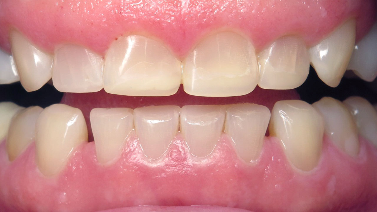
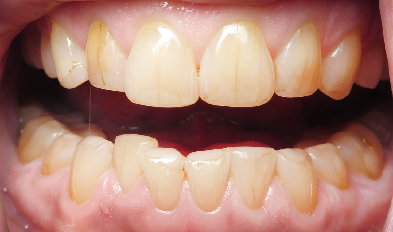
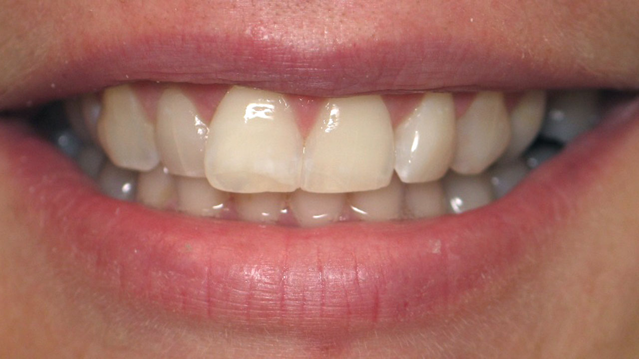
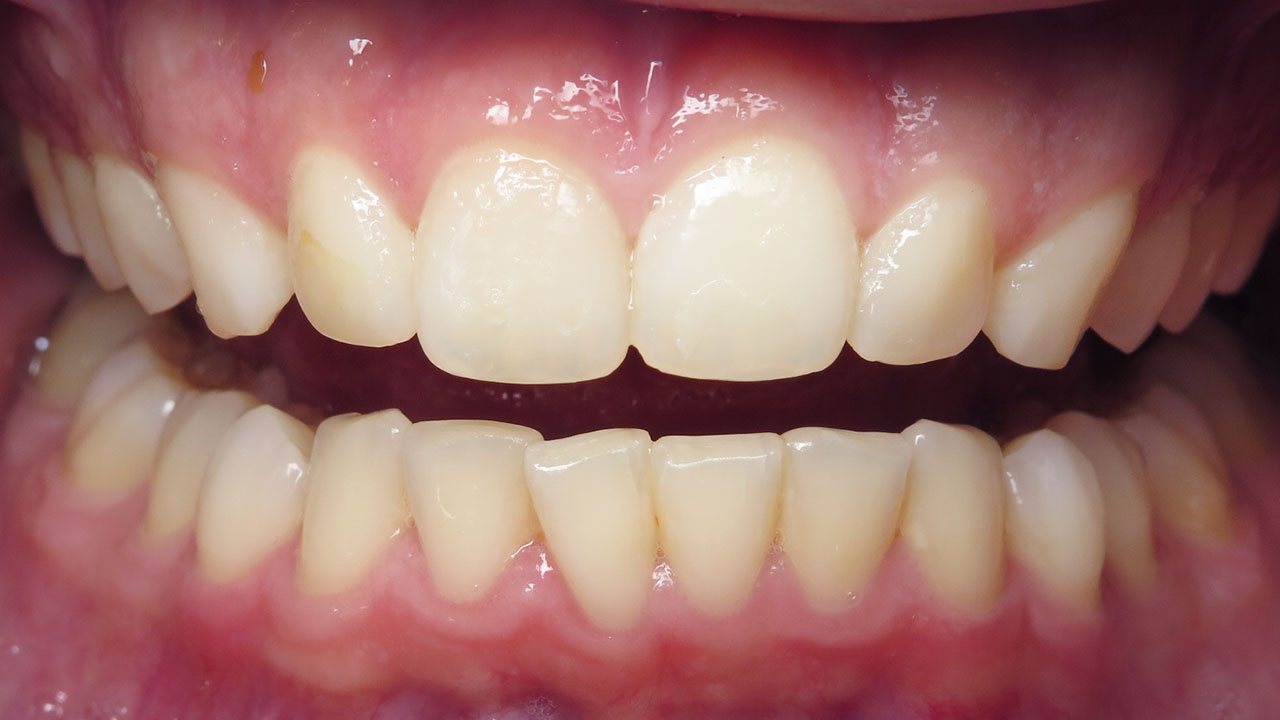
Anterior Crown Restorations
Many patients come to us with front teeth that have been repaired several times over the years or affected by injury, wear, or older dental work. These cases show how carefully planned treatment can restore strength, natural appearance, and balance to the smile. Each patient's situation is unique, but the goal is always the same: healthy, stable teeth that look and feel natural.
Dental Bridges
Missing teeth can affect how you chew, how you speak, and how confident you feel when you smile. These examples show how dental bridges can replace missing teeth when implants are not possible or when a bridge is simply the better solution. Every situation is different, and treatment is always designed around the patient's needs and long-term goals.
Denture Solutions
Sometimes teeth reach a point where they can no longer be predictably restored because of advanced decay, gum disease, or structural breakdown. In these situations, dentures can provide a stable and natural-looking way to rebuild a healthy smile. The cases below show how thoughtfully designed dentures can restore comfort, appearance, and the ability to eat and speak with confidence again.
Cosmetic Bonding
Cosmetic bonding is often used to repair chipped or worn teeth, refine tooth shape, and improve small spacing concerns with a very conservative approach. These cases show how thoughtful planning can produce meaningful improvements while preserving natural tooth structure.
Conservative Cosmetic Refinements
Small refinements can sometimes make a surprisingly meaningful difference in how teeth look and feel. These conservative techniques allow us to improve color, shape, or surface texture while preserving as much natural tooth structure as possible.





































